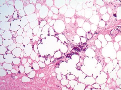
948. У пациента с почечной недостаточностью, длительно находящегося на диализе и принимающего антациды на основе алюминия, наблюдают множественные поражения почек, легких и кожи, выполнена биопсия, патологический процесс представлен

948. У пациента с почечной недостаточностью, длительно находящегося на диализе и принимающего антациды на основе алюминия, наблюдают множественные поражения почек, легких и кожи, выполнена биопсия, патологический процесс представлен

Комментарии (0)

На вопрос ещё не добавлено комментариев. Нашли ошибку или считаете, что вопрос некорректно составлен? — расскажите об этом.

Прогресс: 24% (23/94)?

Прогресс обучения ?
926 927 928 929 930 931 932 933 934 935 936 937 938 939 940 941 942 943 944 945 946 947 948 949 950
38/80