1046. Пациентке 36 лет с одышкой при физической нагрузке и легочной гипертензией в анамнезе выполнили пневмонэктомию, при гистологическом исследовании обнаружены следующие изменения

диагноз _____ наиболее вероятен

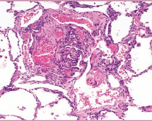
1046. Пациентке 36 лет с одышкой при физической нагрузке и легочной гипертензией в анамнезе выполнили пневмонэктомию, при гистологическом исследовании обнаружены следующие изменения диагноз _____ наиболее вероятен

Комментарии (0)

На вопрос ещё не добавлено комментариев. Нашли ошибку или считаете, что вопрос некорректно составлен? — расскажите об этом.

Прогресс: 24% (23/94)?

Прогресс обучения ?
1026 1027 1028 1029 1030 1031 1032 1033 1034 1035 1036 1037 1038 1039 1040 1041 1042 1043 1044 1045 1046 1047 1048 1049 1050
42/80