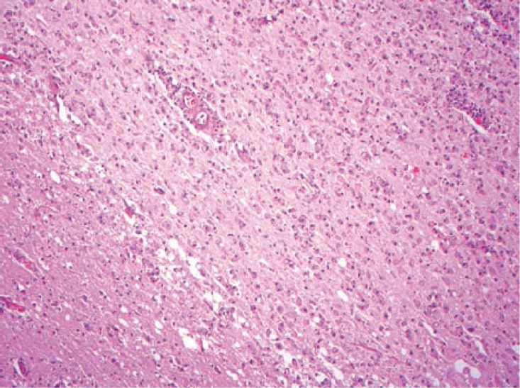
1004. При исследовании аутопсийного материала 69-летнего мужчины в головном мозге был обнаружен участок инфаркта,

его приблизительная давность

1004. При исследовании аутопсийного материала 69-летнего мужчины в головном мозге был обнаружен участок инфаркта, его приблизительная давность

Комментарии (0)

На вопрос ещё не добавлено комментариев. Нашли ошибку или считаете, что вопрос некорректно составлен? — расскажите об этом.

Прогресс: 24% (23/94)?

Прогресс обучения ?
1001 1002 1003 1004 1005 1006 1007 1008 1009 1010 1011 1012 1013 1014 1015 1016 1017 1018 1019 1020 1021 1022 1023 1024 1025
41/80