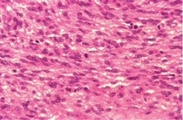
1000. Опухоль, показанная на микрофотографии,

макроскопически представляет собой частично некротизированную массу 12 см в наибольшем измерении, обнаруженную в матке 56-летней женщины, диагноз _____ наиболее вероятен

1000. Опухоль, показанная на микрофотографии, макроскопически представляет собой частично некротизированную массу 12 см в наибольшем измерении, обнаруженную в матке 56-летней женщины, диагноз _____ наиболее вероятен

Комментарии (0)

На вопрос ещё не добавлено комментариев. Нашли ошибку или считаете, что вопрос некорректно составлен? — расскажите об этом.

Прогресс: 24% (23/94)?

Прогресс обучения ?
976 977 978 979 980 981 982 983 984 985 986 987 988 989 990 991 992 993 994 995 996 997 998 999 1000
40/80