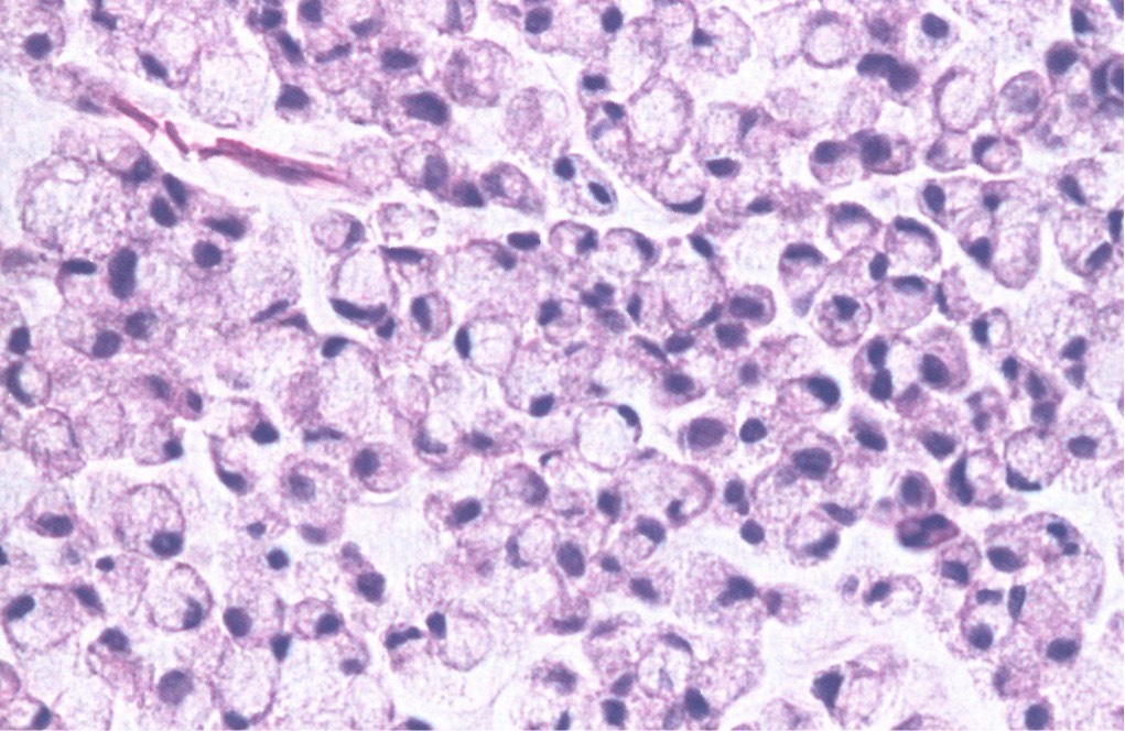
1786. Нозологической единицей, соответствующей данной микроскопической картине опухоли слизистой оболочки желудка, считают

1786. Нозологической единицей, соответствующей данной микроскопической картине опухоли слизистой оболочки желудка, считают

Комментарии (0)

На вопрос ещё не добавлено комментариев. Нашли ошибку или считаете, что вопрос некорректно составлен? — расскажите об этом.

Прогресс: 24% (23/94)?

Прогресс обучения ?
1776 1777 1778 1779 1780 1781 1782 1783 1784 1785 1786 1787 1788 1789 1790 1791 1792 1793 1794 1795 1796 1797 1798 1799 1800
72/80