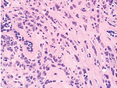
1086. На микрофотографии приведен участок опухоли молочной железы, наиболее вероятным диагнозом является

1086. На микрофотографии приведен участок опухоли молочной железы, наиболее вероятным диагнозом является

Комментарии (0)

На вопрос ещё не добавлено комментариев. Нашли ошибку или считаете, что вопрос некорректно составлен? — расскажите об этом.

Прогресс: 24% (23/94)?

Прогресс обучения ?
1076 1077 1078 1079 1080 1081 1082 1083 1084 1085 1086 1087 1088 1089 1090 1091 1092 1093 1094 1095 1096 1097 1098 1099 1100
44/80