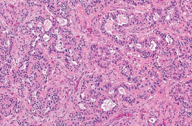
1058. На микрофотографии

изображена опухоль среднего уха, удаленная у 40-летнего пациента, страдавшего от кондуктивной тугоухости, диагноз _____ более вероятен

1058. На микрофотографии изображена опухоль среднего уха, удаленная у 40-летнего пациента, страдавшего от кондуктивной тугоухости, диагноз _____ более вероятен

Комментарии (0)

На вопрос ещё не добавлено комментариев. Нашли ошибку или считаете, что вопрос некорректно составлен? — расскажите об этом.

Прогресс: 24% (23/94)?

Прогресс обучения ?
1051 1052 1053 1054 1055 1056 1057 1058 1059 1060 1061 1062 1063 1064 1065 1066 1067 1068 1069 1070 1071 1072 1073 1074 1075
43/80