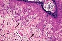
1760. Представлен биоптат незудящего красного, покрытого коркой образования вульвы пациентки 62 лет, часть клеток образования положительны на окраску на муцин. локальное лечение с помощью гидрокортизона неэффективно. диагнозом является

1760. Представлен биоптат незудящего красного, покрытого коркой образования вульвы пациентки 62 лет, часть клеток образования положительны на окраску на муцин. локальное лечение с помощью гидрокортизона неэффективно. диагнозом является

Комментарии (0)

На вопрос ещё не добавлено комментариев. Нашли ошибку или считаете, что вопрос некорректно составлен? — расскажите об этом.

Прогресс: 24% (23/94)?

Прогресс обучения ?
1751 1752 1753 1754 1755 1756 1757 1758 1759 1760 1761 1762 1763 1764 1765 1766 1767 1768 1769 1770 1771 1772 1773 1774 1775
71/80