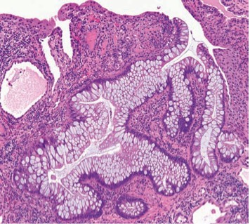
1017. У мужчины 60 лет слизистая мочевого пузыря с неровными узловыми возвышениями, предположительным диагнозом, основываясь на изменениях, приведенных на микрофотографии, будет

1017. У мужчины 60 лет слизистая мочевого пузыря с неровными узловыми возвышениями, предположительным диагнозом, основываясь на изменениях, приведенных на микрофотографии, будет

Комментарии (0)

На вопрос ещё не добавлено комментариев. Нашли ошибку или считаете, что вопрос некорректно составлен? — расскажите об этом.

Прогресс: 24% (23/94)?

Прогресс обучения ?
1001 1002 1003 1004 1005 1006 1007 1008 1009 1010 1011 1012 1013 1014 1015 1016 1017 1018 1019 1020 1021 1022 1023 1024 1025
41/80