1070. 40-Летний пациент в течение года жаловался на отек в области правой подчелюстной железы, при пальпации область была чувствительна, уплотнена, выполнена резекция правой подчелюстной железы, результаты гистологического исследования образования приведены на микрофотографии

диагноз

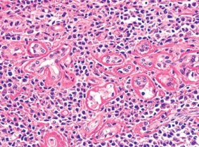
1070. 40-Летний пациент в течение года жаловался на отек в области правой подчелюстной железы, при пальпации область была чувствительна, уплотнена, выполнена резекция правой подчелюстной железы, результаты гистологического исследования образования приведены на микрофотографии диагноз

Комментарии (0)

На вопрос ещё не добавлено комментариев. Нашли ошибку или считаете, что вопрос некорректно составлен? — расскажите об этом.

Прогресс: 24% (23/94)?

Прогресс обучения ?
1051 1052 1053 1054 1055 1056 1057 1058 1059 1060 1061 1062 1063 1064 1065 1066 1067 1068 1069 1070 1071 1072 1073 1074 1075
43/80