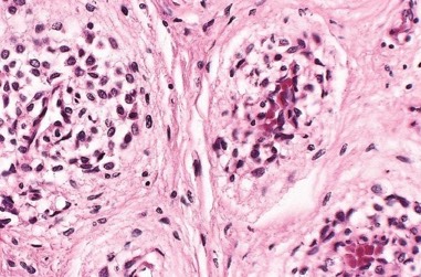
1091. По представленному на микрофотографии фрагменту узла, обнаруженного в области копчика, можно предположить диагноз

1091. По представленному на микрофотографии фрагменту узла, обнаруженного в области копчика, можно предположить диагноз

Комментарии (0)

На вопрос ещё не добавлено комментариев. Нашли ошибку или считаете, что вопрос некорректно составлен? — расскажите об этом.

Прогресс: 24% (23/94)?

Прогресс обучения ?
1076 1077 1078 1079 1080 1081 1082 1083 1084 1085 1086 1087 1088 1089 1090 1091 1092 1093 1094 1095 1096 1097 1098 1099 1100
44/80