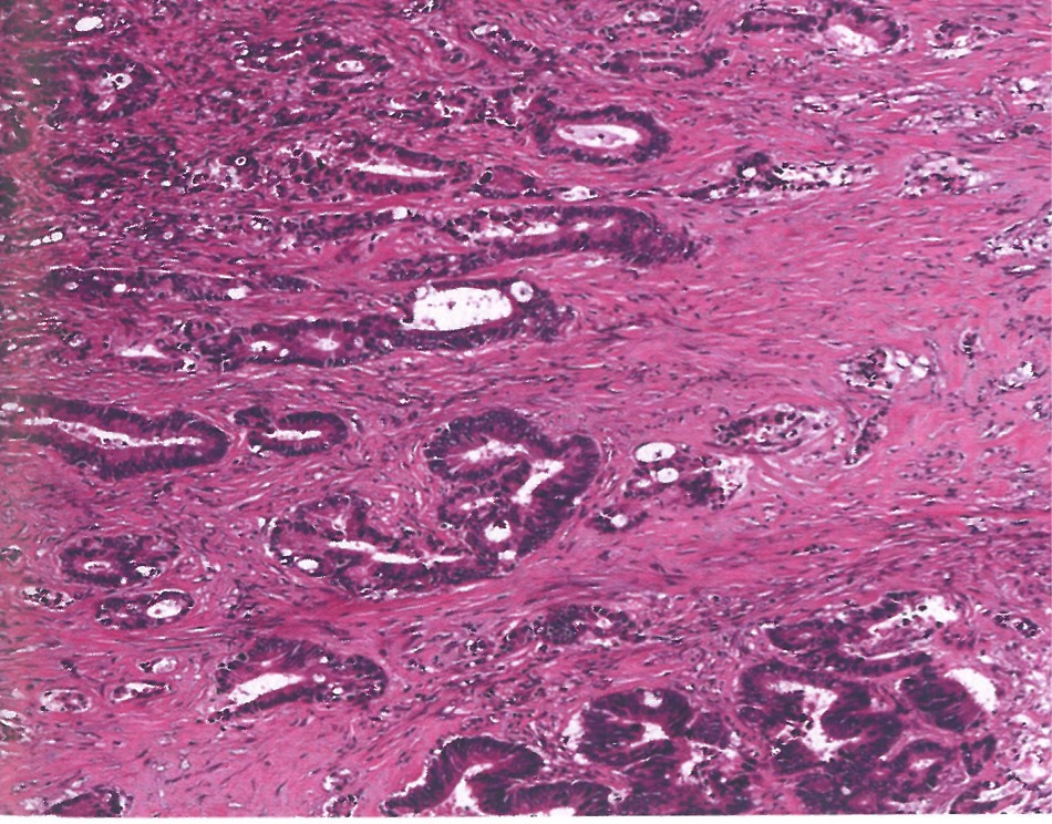
1814. Нозологической единицей, соответствующей данной микроскопической картине рака желудка, считают

1814. Нозологической единицей, соответствующей данной микроскопической картине рака желудка, считают

Комментарии (0)

На вопрос ещё не добавлено комментариев. Нашли ошибку или считаете, что вопрос некорректно составлен? — расскажите об этом.

Прогресс: 24% (23/94)?

Прогресс обучения ?
1801 1802 1803 1804 1805 1806 1807 1808 1809 1810 1811 1812 1813 1814 1815 1816 1817 1818 1819 1820 1821 1822 1823 1824 1825
73/80