2921. Рентгенологические данные, представленные на снимке

грудной клетки пациента после дренирования плевральной полости по поводу пневмоторакса, развившегося на фоне неукротимой рвоты в связи с алкогольной интоксикацией, наиболее вероятно соответствуют клинической картине

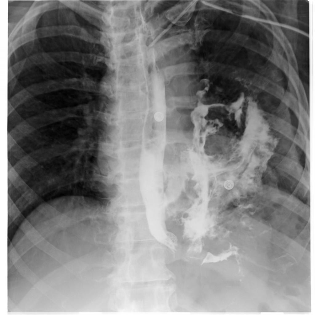
2921. Рентгенологические данные, представленные на снимке грудной клетки пациента после дренирования плевральной полости по поводу пневмоторакса, развившегося на фоне неукротимой рвоты в связи с алкогольной интоксикацией, наиболее вероятно соответствуют клинической картине

Комментарии (0)

На вопрос ещё не добавлено комментариев. Нашли ошибку или считаете, что вопрос некорректно составлен? — расскажите об этом.

Прогресс: 24% (23/94)?

Прогресс обучения ?
2901 2902 2903 2904 2905 2906 2907 2908 2909 2910 2911 2912 2913 2914 2915 2916 2917 2918 2919 2920 2921 2922 2923 2924 2925
117/118