1362. В случае псевдовоспалительной опухоли лёгкого, локализация которой представлена на изображении

у пациента пожилого возраста, страдающего инсулиннезависимым сахарным диабетом в стадии субкомпенсации, целесообразно выполнение

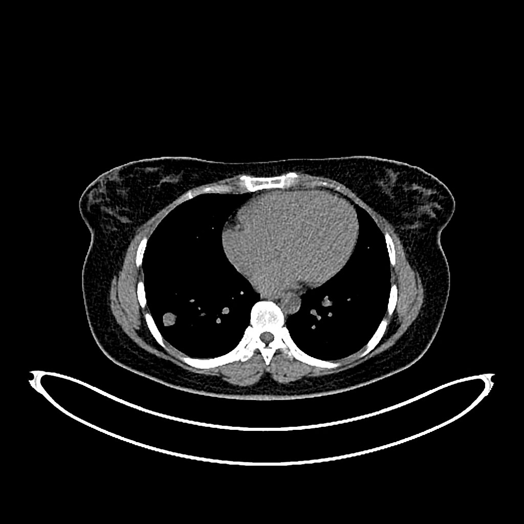
1362. В случае псевдовоспалительной опухоли лёгкого, локализация которой представлена на изображении у пациента пожилого возраста, страдающего инсулиннезависимым сахарным диабетом в стадии субкомпенсации, целесообразно выполнение

Комментарии (0)

На вопрос ещё не добавлено комментариев. Нашли ошибку или считаете, что вопрос некорректно составлен? — расскажите об этом.

Прогресс: 24% (23/94)?

Прогресс обучения ?
1351 1352 1353 1354 1355 1356 1357 1358 1359 1360 1361 1362 1363 1364 1365 1366 1367 1368 1369 1370 1371 1372 1373 1374 1375
55/118