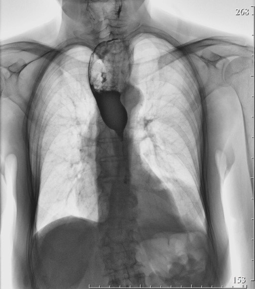
2185. Из анамнеза известно, что в течение длительного времени пациент страдает тяжелым рефлюкс-эзофагитом, осложнившимся развитием

2185. Из анамнеза известно, что в течение длительного времени пациент страдает тяжелым рефлюкс-эзофагитом, осложнившимся развитием

Комментарии (0)

На вопрос ещё не добавлено комментариев. Нашли ошибку или считаете, что вопрос некорректно составлен? — расскажите об этом.

Прогресс: 24% (23/94)?

Прогресс обучения ?
2176 2177 2178 2179 2180 2181 2182 2183 2184 2185 2186 2187 2188 2189 2190 2191 2192 2193 2194 2195 2196 2197 2198 2199 2200
88/118