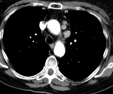
2343. С целью верификации увеличенных медиастинальных лимфоузлов, локализация которых представлена на контраст-усиленном томографическом срезе
,
у пациентки, перенесшей радикальную резекцию молочной железы по поводу рака и адъювантную лучевую терапию на область средостения, целесообразно использование __________ доступа

2343. С целью верификации увеличенных медиастинальных лимфоузлов, локализация которых представлена на контраст-усиленном томографическом срезе , у пациентки, перенесшей радикальную резекцию молочной железы по поводу рака и адъювантную лучевую терапию на область средостения, целесообразно использование __________ доступа

Комментарии (0)

На вопрос ещё не добавлено комментариев. Нашли ошибку или считаете, что вопрос некорректно составлен? — расскажите об этом.

Прогресс: 24% (23/94)?

Прогресс обучения ?
2326 2327 2328 2329 2330 2331 2332 2333 2334 2335 2336 2337 2338 2339 2340 2341 2342 2343 2344 2345 2346 2347 2348 2349 2350
94/118