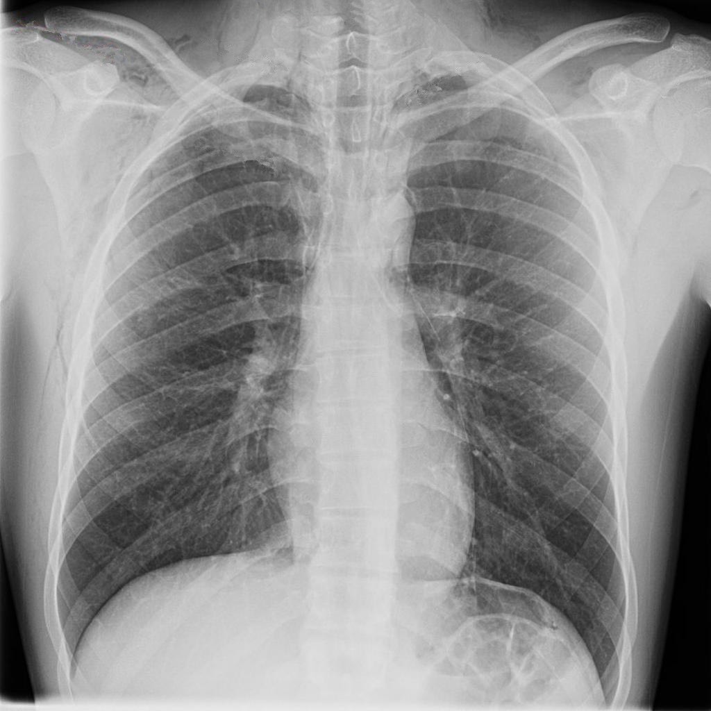
2849. Учитывая представленные на рентгенограмме органов грудной клетки данные,

основным объективным признаком спонтанного пневмомедиастинума в данном случае является

2849. Учитывая представленные на рентгенограмме органов грудной клетки данные, основным объективным признаком спонтанного пневмомедиастинума в данном случае является

Комментарии (0)

На вопрос ещё не добавлено комментариев. Нашли ошибку или считаете, что вопрос некорректно составлен? — расскажите об этом.

Прогресс: 24% (23/94)?

Прогресс обучения ?
2826 2827 2828 2829 2830 2831 2832 2833 2834 2835 2836 2837 2838 2839 2840 2841 2842 2843 2844 2845 2846 2847 2848 2849 2850
114/118