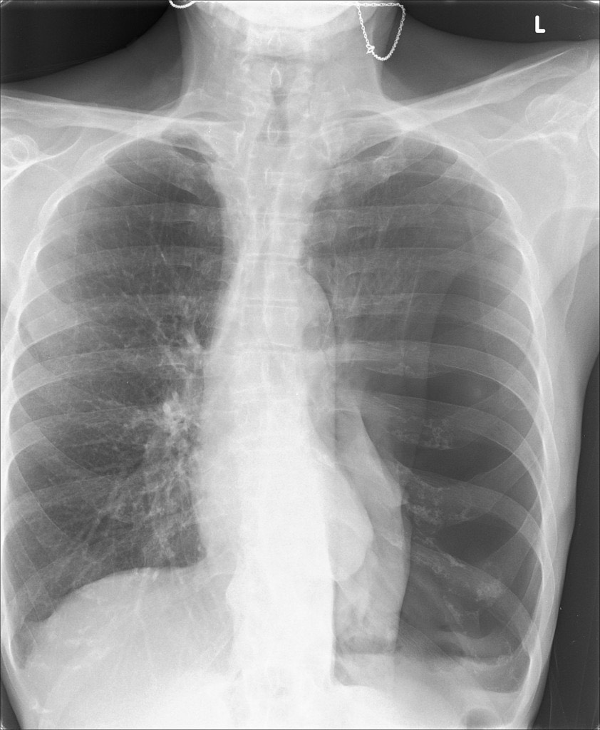
2819. У пациента с жалобами на одышку в покое на протяжении двух дней повышение температуры тела до 37,1°С, сердцебиение и гипотензия, рентгенологические данные, представленные на снимке,

наиболее вероятно, соответствуют клинической картине

2819. У пациента с жалобами на одышку в покое на протяжении двух дней повышение температуры тела до 37,1°С, сердцебиение и гипотензия, рентгенологические данные, представленные на снимке, наиболее вероятно, соответствуют клинической картине

Комментарии (0)

На вопрос ещё не добавлено комментариев. Нашли ошибку или считаете, что вопрос некорректно составлен? — расскажите об этом.

Прогресс: 24% (23/94)?

Прогресс обучения ?
2801 2802 2803 2804 2805 2806 2807 2808 2809 2810 2811 2812 2813 2814 2815 2816 2817 2818 2819 2820 2821 2822 2823 2824 2825
113/118