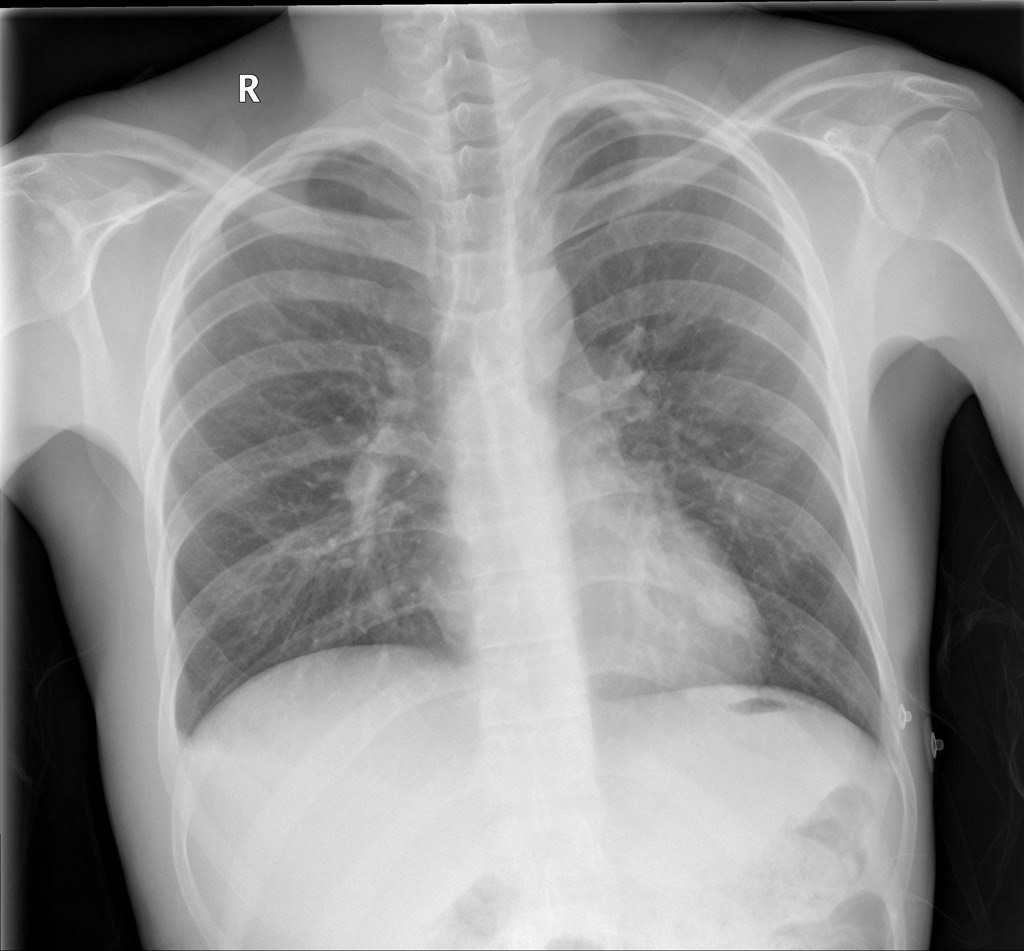
1363. Учитывая представленные на рентгенограмме

данные и локализацию первичного плоскоклеточного рака в лёгком у пациента, страдающего ХОБЛ (индекс тиффно 65%), целесообразно выполнение _____________ с удалением регионарных лимфоузлов

1363. Учитывая представленные на рентгенограмме данные и локализацию первичного плоскоклеточного рака в лёгком у пациента, страдающего ХОБЛ (индекс тиффно 65%), целесообразно выполнение _____________ с удалением регионарных лимфоузлов

Комментарии (0)

На вопрос ещё не добавлено комментариев. Нашли ошибку или считаете, что вопрос некорректно составлен? — расскажите об этом.

Прогресс: 24% (23/94)?

Прогресс обучения ?
1351 1352 1353 1354 1355 1356 1357 1358 1359 1360 1361 1362 1363 1364 1365 1366 1367 1368 1369 1370 1371 1372 1373 1374 1375
55/118