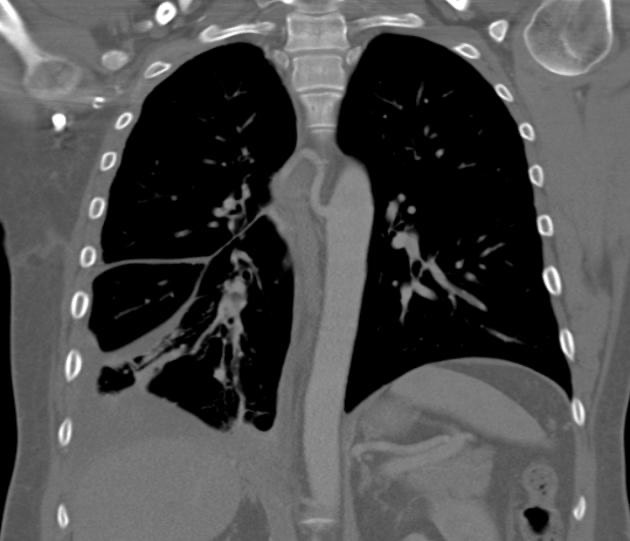
2895. Обнаруженные при компьютерной томографии признаки

у пациента, которого беспокоят частые эпизоды правосторонней пневмонии, наиболее характерны для

2895. Обнаруженные при компьютерной томографии признаки у пациента, которого беспокоят частые эпизоды правосторонней пневмонии, наиболее характерны для

Комментарии (0)

На вопрос ещё не добавлено комментариев. Нашли ошибку или считаете, что вопрос некорректно составлен? — расскажите об этом.

Прогресс: 24% (23/94)?

Прогресс обучения ?
2876 2877 2878 2879 2880 2881 2882 2883 2884 2885 2886 2887 2888 2889 2890 2891 2892 2893 2894 2895 2896 2897 2898 2899 2900
116/118