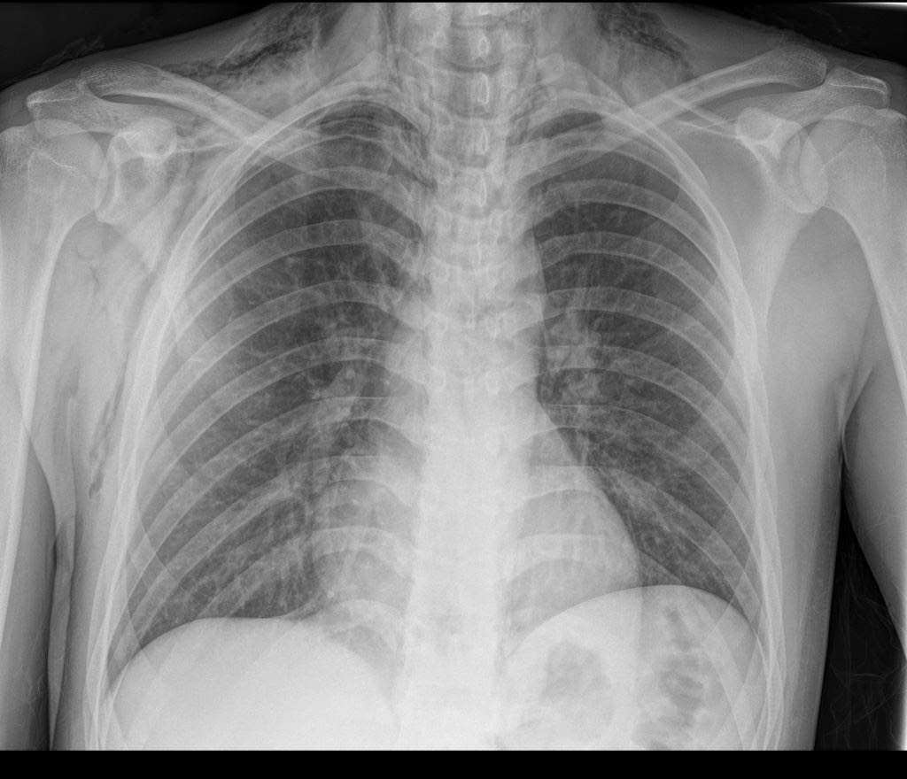
2859. Рентгенологические данные, представленные на снимкегрудной клетки кардиологического пациента,

который обратился с жалобами на одышку и нелокализованную боль в левой половине грудной клетки после интенсивного приступа рвоты на фоне алкогольного опьянения, наиболее вероятно, соответствуют клинической картине

2859. Рентгенологические данные, представленные на снимкегрудной клетки кардиологического пациента, который обратился с жалобами на одышку и нелокализованную боль в левой половине грудной клетки после интенсивного приступа рвоты на фоне алкогольного опьянения, наиболее вероятно, соответствуют клинической картине

Комментарии (0)

На вопрос ещё не добавлено комментариев. Нашли ошибку или считаете, что вопрос некорректно составлен? — расскажите об этом.

Прогресс: 24% (23/94)?

Прогресс обучения ?
2851 2852 2853 2854 2855 2856 2857 2858 2859 2860 2861 2862 2863 2864 2865 2866 2867 2868 2869 2870 2871 2872 2873 2874 2875
115/118