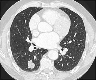
2396. Учитывая представленные на томографическом срезе данные

и локализацию первичного железистого рака в паренхиме лёгкого у пациента, состоящего на диспансерном учёте по поводу хронической обструктивной болезни лёгких с объёмом форсированного выдоха за 1 секунду 60% от должного и стабильной стенакардии напряжения функциональный класс ii, целесообразно выполнение видеоторакоскопической

2396. Учитывая представленные на томографическом срезе данные и локализацию первичного железистого рака в паренхиме лёгкого у пациента, состоящего на диспансерном учёте по поводу хронической обструктивной болезни лёгких с объёмом форсированного выдоха за 1 секунду 60% от должного и стабильной стенакардии напряжения функциональный класс ii, целесообразно выполнение видеоторакоскопической

Комментарии (0)

На вопрос ещё не добавлено комментариев. Нашли ошибку или считаете, что вопрос некорректно составлен? — расскажите об этом.

Прогресс: 24% (23/94)?

Прогресс обучения ?
2376 2377 2378 2379 2380 2381 2382 2383 2384 2385 2386 2387 2388 2389 2390 2391 2392 2393 2394 2395 2396 2397 2398 2399 2400
96/118