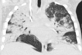
1946. У пациента 10 лет с нейтропенией при компьютерной томографии в легких определяются массивные зоны уплотнения легочной ткани сливного характера с преимущественным перибронхиальным расположением, корни легких на фоне инфильтратов не дифференцируются, рентгенологическая картина соответствует

1946. У пациента 10 лет с нейтропенией при компьютерной томографии в легких определяются массивные зоны уплотнения легочной ткани сливного характера с преимущественным перибронхиальным расположением, корни легких на фоне инфильтратов не дифференцируются, рентгенологическая картина соответствует

Комментарии (0)

На вопрос ещё не добавлено комментариев. Нашли ошибку или считаете, что вопрос некорректно составлен? — расскажите об этом.

Прогресс: 24% (23/94)?

Прогресс обучения ?
1926 1927 1928 1929 1930 1931 1932 1933 1934 1935 1936 1937 1938 1939 1940 1941 1942 1943 1944 1945 1946 1947 1948 1949 1950
78/80