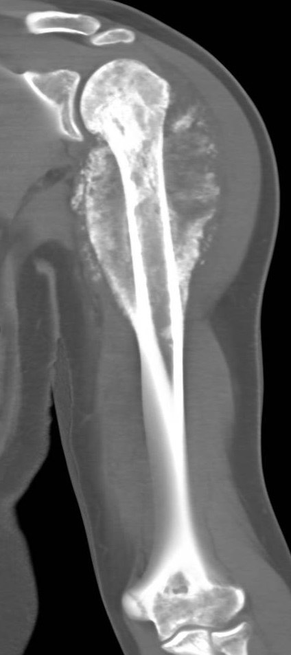
1891. Ребенку 14 лет с жалобами на боли в плече выполнена компьютерная томография, рентгенологическая картина соответствует

1891. Ребенку 14 лет с жалобами на боли в плече выполнена компьютерная томография, рентгенологическая картина соответствует

Комментарии (0)

На вопрос ещё не добавлено комментариев. Нашли ошибку или считаете, что вопрос некорректно составлен? — расскажите об этом.

Прогресс: 24% (23/94)?

Прогресс обучения ?
1876 1877 1878 1879 1880 1881 1882 1883 1884 1885 1886 1887 1888 1889 1890 1891 1892 1893 1894 1895 1896 1897 1898 1899 1900
76/80