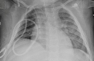
1915. Пациенту 5 лет с диагнозом «ювенильный миеломоноцитарный лейкоз» выполнена рентгенография грудной клетки в прямой проекции, рентгенологическая картина соответствует

1915. Пациенту 5 лет с диагнозом «ювенильный миеломоноцитарный лейкоз» выполнена рентгенография грудной клетки в прямой проекции, рентгенологическая картина соответствует

Комментарии (0)

На вопрос ещё не добавлено комментариев. Нашли ошибку или считаете, что вопрос некорректно составлен? — расскажите об этом.

Прогресс: 24% (23/94)?

Прогресс обучения ?
1901 1902 1903 1904 1905 1906 1907 1908 1909 1910 1911 1912 1913 1914 1915 1916 1917 1918 1919 1920 1921 1922 1923 1924 1925
77/80