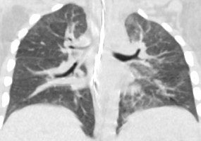
1926. Пациент 2 лет с нейробластомой левого надпочечника после нескольких блоков полихимио- и лучевой терапии и туморадреналэктомии слева, на КТ выявлено снижение пневматизации легочной ткани, диффузно расположенные участки уплотнения легочного интерстиция по типу «лоскутного одеяла», рентгенологическая картина соответствует

1926. Пациент 2 лет с нейробластомой левого надпочечника после нескольких блоков полихимио- и лучевой терапии и туморадреналэктомии слева, на КТ выявлено снижение пневматизации легочной ткани, диффузно расположенные участки уплотнения легочного интерстиция по типу «лоскутного одеяла», рентгенологическая картина соответствует

Комментарии (0)

На вопрос ещё не добавлено комментариев. Нашли ошибку или считаете, что вопрос некорректно составлен? — расскажите об этом.

Прогресс: 24% (23/94)?

Прогресс обучения ?
1926 1927 1928 1929 1930 1931 1932 1933 1934 1935 1936 1937 1938 1939 1940 1941 1942 1943 1944 1945 1946 1947 1948 1949 1950
78/80