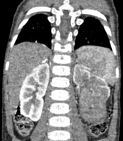
1387. Пациенту 4 лет с жалобами на кровь в моче, увеличение живота в размерах, снижением веса в течение месяца выполнена компьютерная томография, патологическим процессом, соответствующим клинико-рентгенологической картине считают опухоль

1387. Пациенту 4 лет с жалобами на кровь в моче, увеличение живота в размерах, снижением веса в течение месяца выполнена компьютерная томография, патологическим процессом, соответствующим клинико-рентгенологической картине считают опухоль

Комментарии (0)

На вопрос ещё не добавлено комментариев. Нашли ошибку или считаете, что вопрос некорректно составлен? — расскажите об этом.

Прогресс: 24% (23/94)?

Прогресс обучения ?
1376 1377 1378 1379 1380 1381 1382 1383 1384 1385 1386 1387 1388 1389 1390 1391 1392 1393 1394 1395 1396 1397 1398 1399 1400
56/57