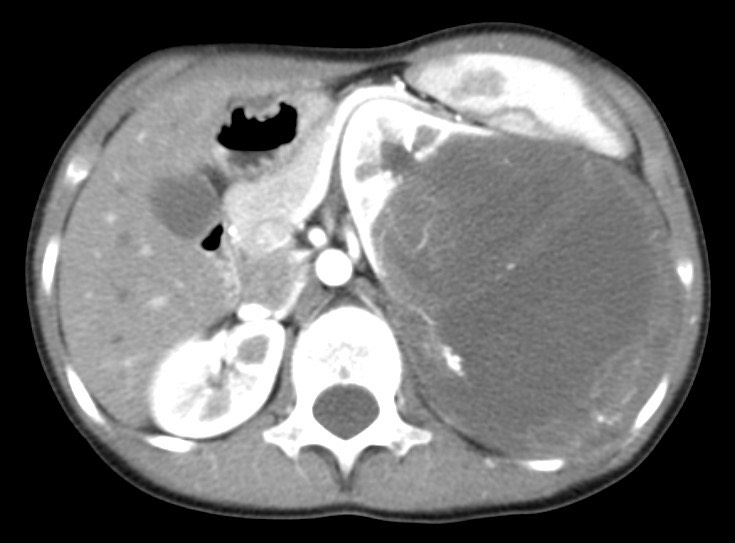
1386. Пациенту 8 лет с болями в левом боку в подреберье, интермиттирующей лихорадкой до 38,8⁰с проведено обследование и антибиотикотерапия, вследствие которых боли купировались, но сохранилась субфебрильная лихорадка, выполнили компьютерную томографию, патологическим процессом считают

1386. Пациенту 8 лет с болями в левом боку в подреберье, интермиттирующей лихорадкой до 38,8⁰с проведено обследование и антибиотикотерапия, вследствие которых боли купировались, но сохранилась субфебрильная лихорадка, выполнили компьютерную томографию, патологическим процессом считают

Комментарии (0)

На вопрос ещё не добавлено комментариев. Нашли ошибку или считаете, что вопрос некорректно составлен? — расскажите об этом.

Прогресс: 24% (23/94)?

Прогресс обучения ?
1376 1377 1378 1379 1380 1381 1382 1383 1384 1385 1386 1387 1388 1389 1390 1391 1392 1393 1394 1395 1396 1397 1398 1399 1400
56/57