2993. Учитывая локализацию очагов бронхиолоальвеолярного рака в лёгком по данным томографических срезов

пациенту показано выполнение ________ с медиастинальной лимфодиссекцией

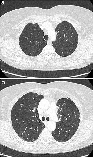
2993. Учитывая локализацию очагов бронхиолоальвеолярного рака в лёгком по данным томографических срезов пациенту показано выполнение ________ с медиастинальной лимфодиссекцией

Комментарии (0)

На вопрос ещё не добавлено комментариев. Нашли ошибку или считаете, что вопрос некорректно составлен? — расскажите об этом.

Прогресс: 24% (23/94)?

Прогресс обучения ?
2976 2977 2978 2979 2980 2981 2982 2983 2984 2985 2986 2987 2988 2989 2990 2991 2992 2993 2994 2995 2996 2997 2998 2999 3000
120/121