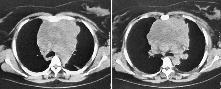
2962. Учитывая локализацию тератобластомы средостения по данным томографического среза,

с целью её удаления, целесообразно использование

2962. Учитывая локализацию тератобластомы средостения по данным томографического среза, с целью её удаления, целесообразно использование

Комментарии (0)

На вопрос ещё не добавлено комментариев. Нашли ошибку или считаете, что вопрос некорректно составлен? — расскажите об этом.

Прогресс: 24% (23/94)?

Прогресс обучения ?
2951 2952 2953 2954 2955 2956 2957 2958 2959 2960 2961 2962 2963 2964 2965 2966 2967 2968 2969 2970 2971 2972 2973 2974 2975
119/121