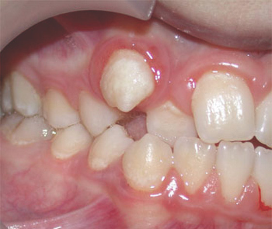
1439. К аномалии положения 1.3 зуба относят

1439. К аномалии положения 1.3 зуба относят

Комментарии (0)

На вопрос ещё не добавлено комментариев. Нашли ошибку или считаете, что вопрос некорректно составлен? — расскажите об этом.

Прогресс: 24% (23/94)?

Прогресс обучения ?
1426 1427 1428 1429 1430 1431 1432 1433 1434 1435 1436 1437 1438 1439 1440
58/58