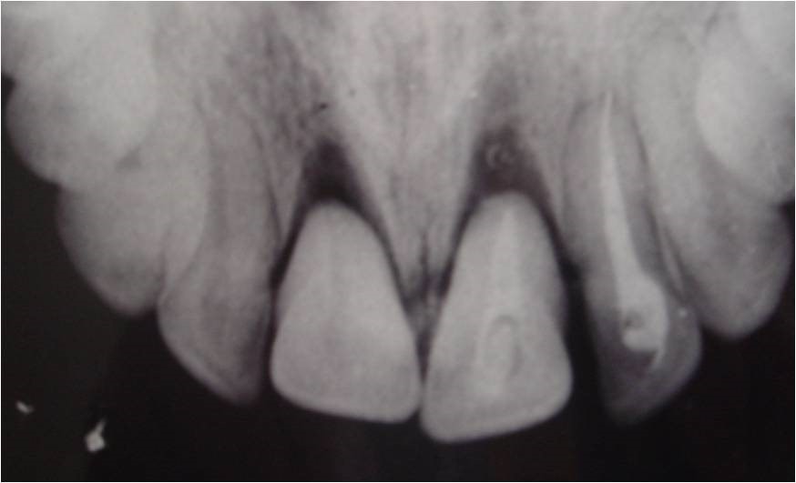
2305. На рентгенограмме у пациента с травмой челюстно-лицевой области дифференцируется ______ зубов

2305. На рентгенограмме у пациента с травмой челюстно-лицевой области дифференцируется ______ зубов

Комментарии (0)

На вопрос ещё не добавлено комментариев. Нашли ошибку или считаете, что вопрос некорректно составлен? — расскажите об этом.

Прогресс: 24% (23/94)?

Прогресс обучения ?
2301 2302 2303 2304 2305 2306 2307 2308 2309 2310 2311 2312 2313 2314 2315 2316 2317 2318 2319 2320 2321 2322 2323 2324 2325
93/110