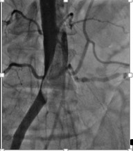
2084. На представленной ангиографии брюшного отдела аорты и подвздошного сегмента можно наблюдать

2084. На представленной ангиографии брюшного отдела аорты и подвздошного сегмента можно наблюдать

Комментарии (0)

На вопрос ещё не добавлено комментариев. Нашли ошибку или считаете, что вопрос некорректно составлен? — расскажите об этом.

Прогресс: 24% (23/94)?

Прогресс обучения ?
2076 2077 2078 2079 2080 2081 2082 2083 2084 2085 2086 2087 2088 2089 2090 2091 2092 2093 2094 2095 2096 2097 2098 2099 2100
84/134