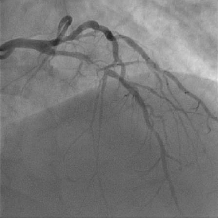
1477. Пациент в возрасте 57 лет подан в рентгеноперационную с острым инфарктом миокарда по передней стенке. данные коронарографии представлены на рисунке

какая оптимальная стратегия лечения?

1477. Пациент в возрасте 57 лет подан в рентгеноперационную с острым инфарктом миокарда по передней стенке. данные коронарографии представлены на рисунке какая оптимальная стратегия лечения?

Комментарии (0)

На вопрос ещё не добавлено комментариев. Нашли ошибку или считаете, что вопрос некорректно составлен? — расскажите об этом.

Прогресс: 24% (23/94)?

Прогресс обучения ?
1476 1477 1478 1479 1480 1481 1482 1483 1484 1485 1486 1487 1488 1489 1490 1491 1492 1493 1494 1495 1496 1497 1498 1499 1500
60/76