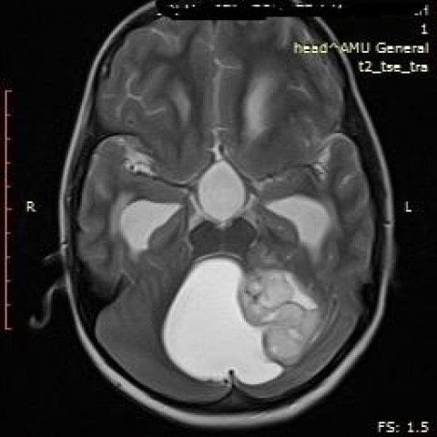
3811. Мальчику 14 лет с головной болью, дисметрией и адиадохокинезом выполнена магнитно-резонансная томография, заболеванием, которое может соответствовать клинико-рентгенологической картине, считают

3811. Мальчику 14 лет с головной болью, дисметрией и адиадохокинезом выполнена магнитно-резонансная томография, заболеванием, которое может соответствовать клинико-рентгенологической картине, считают

Комментарии (0)

На вопрос ещё не добавлено комментариев. Нашли ошибку или считаете, что вопрос некорректно составлен? — расскажите об этом.

Прогресс: 24% (23/94)?

Прогресс обучения ?
3801 3802 3803 3804 3805 3806 3807 3808 3809 3810 3811 3812 3813 3814 3815 3816 3817 3818 3819 3820 3821 3822 3823 3824 3825
153/161