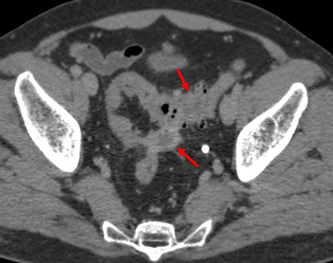
949. На представленном КТ снимке участок сигмовидной кишки с дивертикулами; стенки утолщены; в параколической клетчатке визуализируется жидкостное округлое образование диаметром 2,5 см с толстыми стенками, что по классификации осложнений дивертикулярной болезни соответствует картине

949. На представленном КТ снимке участок сигмовидной кишки с дивертикулами; стенки утолщены; в параколической клетчатке визуализируется жидкостное округлое образование диаметром 2,5 см с толстыми стенками, что по классификации осложнений дивертикулярной болезни соответствует картине

Комментарии (0)

На вопрос ещё не добавлено комментариев. Нашли ошибку или считаете, что вопрос некорректно составлен? — расскажите об этом.

Прогресс: 24% (23/94)?

Прогресс обучения ?
926 927 928 929 930 931 932 933 934 935 936 937 938 939 940 941 942 943 944 945 946 947 948 949 950
38/90